Home PageContact usHead BrainHead Brain AtrophyHead / SinusesTMJThoraxPelvisFeet

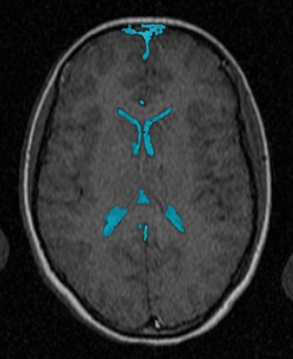
CT: Brain Atrophy

10 Years-Normal Gyri             65 Years-Enlarged Gyri



10 Years-Normal Gyri             65 Years-Enlarged Gyri


All text and images by James D. Collins, M.D.

Back to the top of the page

© Parkside, LLC.
All rights reserved.
Rise and Shine on Audible Rise and Shine Audio Sample Rise and Shine on Amazon Rise and Shine on Barnes and Noble